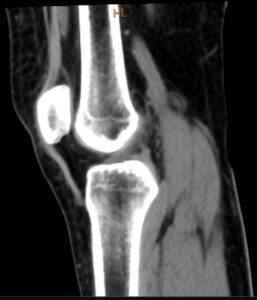
A TAC ao Joelho fornece imagens detalhadas das estruturas ósseas e da articulação femorotibial e patelofemoral, apoiando o diagnóstico de fraturas, desalinhamentos e sequelas pós-traumáticas.
O que é a TAC ao Joelho e para que serve?
A TAC ao Joelho é uma tomografia computorizada de alta resolução do fémur distal, tíbia proximal e rótula, útil na avaliação de fraturas intra-articulares, consolidação e planeamento cirúrgico.
É frequentemente indicada quando a radiografia não é conclusiva ou quando se requerem medidas tridimensionais precisas.

Qual o preço da TAC ao Joelho?
O preço da TAC ao Joelho quando realizada a título particular é de 100€.
No entanto, poderá realizar a TAC ao Joelho através de vários acordos, incluindo:
- SNS / ARS: Quando a TAC ao Joelho é realizada pelo SNS, o utente não paga qualquer valor (necessário levar a prescrição do Centro de Saúde);
- ADSE: No caso da TAC ao Joelho ser realizada pela ADSE, o utente apenas paga apenas a taxa de 16€;
- IASFA, ADM GNR, SAD PSP;
- Seguradoras: Médis, Multicare, Advance Care, Allianz, Saúde Prime, Future HealthCare, SS CGD, SAMS Quadros, SAMS, Montepio, RNA, Generali, Mudum, MGEN, Aegon, Vitória, Una Seguros, outras seguradoras. Neste caso, o preço da TAC ao Joelho varia em função do seguro que utilizar.
- Planos de Saúde: Medicare, Saúde Prime, Future HealthCare, Continente Wells, ACP, outros planos de saúde. Neste caso, o preço da TAC ao Joelho varia em função do plano de saúde que utilizar.
- Protocolos: O NRD tem protocolos com várias clínicas e instituições que lhe permitem realizar o exame com valores muito competitivos. No caso da TAC ao Joelho, o preço através do protocolo é de 80€.
Como é feita?
A TAC ao Joelho é realizada com o paciente deitado na mesa (cama) do equipamento (aberto nas duas extremidades), com o joelho imobilizado.
O exame dura cerca de 10 a 15 minutos.
O NRD dispõe de um equipamento Philips de última geração de 128 cortes, que oferece imagens nítidas com baixa dose de radiação, assegurando segurança e eficácia em cada exame.

O que deteta?
A TAC ao Joelho é um exame que pode detetar alterações ósseas e articulares, como por exemplo:
- Fraturas e linhas de fratura intra-articulares;
- Desalinhamentos, incongruências e alterações patelofemorais;
- Osteoartrose, osteófitos e geodos;
- Lesões ósseas subcondrais e sequelas pós-traumáticas;
- Tumores ósseos e quistos;
- Sinais de infeção óssea ou articular;
- Entre outras.
Para que casos é indicada?
A TAC ao Joelho é geralmente indicada pelo médico em situações como:
- Trauma com suspeita de fratura complexa;
- Planeamento cirúrgico (osteossíntese, próteses, osteotomias);
- Dor crónica do joelho com radiografia inconclusiva;
- Avaliação de desalinhamentos e instabilidade patelar;
- Suspeita de infeção ou tumor ósseo;
- Controlo pós-operatório e avaliação de consolidação;
- Entre outras.
TAC ao Joelho com Contraste
A TAC ao Joelho é habitualmente realizada sem contraste. Em casos selecionados (infeção, tumores, inflamação), pode usar-se contraste endovenoso. A injeção pode causar sensação de calor ou sabor metálico transitório. É geralmente necessário jejum de 4 horas (será informado aquando da marcação).
Preparação para a TAC ao Joelho
| Tópico | Orientação |
| Prescrição do exame (suporte papel) | Deverá fazer-se acompanhar da Prescrição do Exame em suporte papel. |
| Jejum | No caso do exame ser realizado com contraste, deverá fazer jejum de 4h. Quando o exame é realizado sem contraste, não é necessário jejum. |
| Chegada antecipada | Geralmente, só precisa de comparecer 15 minutos antes do exame, exceto nos casos em que será usado contraste oral. Neste caso, deve comparecer 1 a 2 horas antes do exame (será avisado aquando da marcação). |
| Exames anteriores | Deve trazer exames anteriores relevantes. |
| Historial médico anterior | Tenha presente o historial médico anterior no que respeita a alergias, doenças cardio-respiratórias e renais e medicação habitual. |
| Água | Se necessário ou se tiver vontade, pode ingerir água. |
O NRD irá fornecer-lhe todas as indicações no momento da marcação.
Mantenha-se imóvel para evitar artefactos nas imagens.
Quando e como recebe os resultados?
Receberá os resultados da TAC até 7 dias após o exame, por e-mail ou em papel na clínica. No dia do exame, leva consigo o CD com as imagens.
Onde fazer?
A TAC ao joelho pode ser feita no NRD, na seguinte morada:
Avenida Columbano Bordalo Pinheiro, nº 11-B, r/c, 1070 – 060 Lisboa (Junto à Praça de Espanha)